B Wurf-News

Hier geht es zu allen Infos der Verpaarung zwischen Abby und Quater

 
Tag: Infos: Bilder oder Links
X

 

   Am 10.02. und am 12.02.2013 hat Quater unserer Abby  sein Herz geschenkt.

Nach 3 Jahren Babypause  konnten wir uns am Sonntag, den 10. Februar nun endlich auf den Weg machen zu Quaterback  Perfekt Time von Arabian's Stud, einem ganz tollen Rüden aus Iserlohn.

 Abby und er haben sich auf Anhieb sehr gut verstanden. Erst flitzen sie ein wenig über die verschneite Wiese, bis sie sich ganz selbständig und ruhig vereinten. Am Montag wiederholten wir dieses Date noch einmal und wie zuvor am Sonntag, mit Erfolg.

Anschließend haben die beiden sich dann am Kamin aufgewärmt.

Wir sind gespannt auf das Ergebnis. :-)

 

     

 

 

 

25.

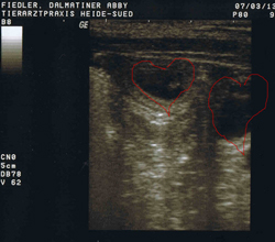
Heute, am 07.03. waren wir beim Ultraschall, und können berichten... Abby ist tragend, juchu!!!

Hier sieht man schon die kleinen Früchte, die bald zu zu kleinen Dalmatinern heranwachsen.

 
33.
  

 Abby geht es prima. Sie ist immer hungrig :-) und    sehr verschmust

42.

die gute Figur ist nun endgültig hin ;-)

Jeden Tag wächst das Bäuchlein nun ein Stückchen mehr. Jetzt gibt es auch zusätzlich eine Mittagsmahlzeit, worüber sich Abby sehr freut.

Nun sind es nur noch 3 Wochen, dann wissen wir es genau, wieviel kleine Dalmatinerbabys in ihrem Bauch heranwachsen.

 

49.    das Bäuchlein wächst..., aber noch sind 14 Tage Zeit zum wachsen  

 

  52. der Spaziergang wäre noch viel schöner, wenn endlich Frühling wird. Aber noch immer Schnee weit und breit...

Jetzt gibt es noch 3 Mahlzeiten am Tag, aber zum Wochenende stellen wir um auf 4x, damit es nicht zu viel in dem schon engen Bauch wird.

Abby verbringt jetzt vermehrt Zeit mit ihrer Körperpflege und schaut sich ab und an auch schon mal die Wurfkiste von innen an. Aber noch sind noch etwa 11 Tage Zeit bis die Welpen zur Welt kommen

63. heute ist, laut Kalender, der Tag der Geburt. Aber wir warten noch, denn Abby meint, es ist noch nicht so weit.

Ihr geht es prächtig. Naja, der Bauch ist schon arg dick, aber dennoch ist sie noch recht flink auf den Beinen.

 

 

An diesem schönen Wochenende haben wir noch einige Bilder gemacht.

 

 

 

Wenn man auf das "Herz" auf der rechten Seite klickt,

öffnet sich die Seite mit diesen Bildern

hier klicken

65. 7 auf einen Streich - Abby hat ihre Babys bekommen. Weiter geht es nun in der jeweiligen Woche.  

 

 

     

 

 

 

 

 

 

 

 
   Copyright 2005-2026 by: Änne & Uwe Fiedler, An der Mauer 3, 06193 Wettin-Löbejün, Tel.: (+49) 034603 - 71150 Fax: (+49) 034603 - 71151         powered by: Thomas Heydel